Dra-Larissa-Camargo---implante
5,0⭐ Avaliações no Google • Instituto Volver
Classificado como 5 de 5

Tratamento de Canal em São Paulo (Tatuapé)

Alívio da dor e preservação do dente com tratamento seguro, tecnologia e abordagem. O tratamento de canal é indicado quando a parte interna do dente está inflamada ou infectada.

No Instituto Volver, realizamos o tratamento com planejamento individualizado, buscando eliminar a dor, tratar a infecção e preservar o dente natural.

 

5,0⭐ no Google • Instituto Volver
Classificado como 5 de 5

⚠ Atendimento particular — não atendemos convênios.

Neste vídeo, você pode visualizar de forma simples como é realizado o tratamento de canal.

O procedimento consiste na remoção do tecido interno do dente que está inflamado ou infectado, seguida da limpeza, desinfecção e selamento do canal.

Com técnicas modernas e tecnologia adequada, o tratamento é realizado com precisão, segurança e foco na preservação do dente natural.

Se você apresenta dor ou desconforto, a avaliação profissional é essencial para identificar a necessidade do tratamento e evitar a evolução do problema.

Você está passando por algum desses sintomas?

Dor de dente intensa

Sensibilidade ao quente ou frio

Dor ao mastigar

Dente escurecido

Inchaço na gengiva

Histórico de infecção no dente

Esses sintomas podem indicar comprometimento da parte interna do dente, sendo necessária avaliação para identificar a necessidade de tratamento de canal.

O que é o tratamento de canal?

O tratamento de canal consiste na remoção do tecido interno do dente que está inflamado ou infectado.

Após a limpeza e desinfecção, o canal é preenchido e o dente é restaurado, permitindo que ele continue exercendo sua função.

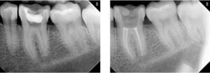
Nas imagens a seguir apresentamos casos: à esquerda, o dente com infecção. À direita, após o tratamento de canal, o dente tratado e preservado (imagem radiopacas mais claras/brancas dentro dos condutos dos canais).

Como funciona o tratamento

1. Avaliação e diagnóstico

Identificação da origem da dor e análise da condição do dente através de raio-x periapical e em casos mais complexos tomografia computadorizada.

2. Limpeza e desinfecção

Remoção do tecido infectado e limpeza do canal.

3. Preenchimento e restauração

O canal é selado e o dente restaurado para voltar à função.

Tecnologia que faz diferença na experiência

Mais agilidade e precisão no diagnóstico.

Tecnologia avançada que aumenta a precisão do tratamento de canal, reduz o tempo clínico e melhora o resultado final.

Mais tranquilidade para pacientes que sentem medo ou ansiedade em procedimentos odontológicos.

Cirurgia Parêndodontica

Procedimento indicado em casos mais complexos, quando não é possível resolver a infecção apenas pelo tratamento convencional.

Permite acessar a região pela raiz do dente para tratar o problema de forma direta.

*A indicação apenas em casos mais complexos de lesões estendidas.

Por que escolher o Instituto Volver

5,0⭐ Avaliações no Google + 3.000 sorrisos transformados
Classificado como 5 de 5
⚠ Atendimento particular — não atendemos convênios.

Pagamento personalizado

Sabemos que o tratamento de canal muitas vezes surge de forma inesperada.

As condições são apresentadas na avaliação conforme o planejamento do caso.

*Condições sujeitas à análise e às políticas vigentes.

Conheça alguns dos profissionais envolvidos na jornada de reabilitação do paciente com prótese protocolo. Uma equipe multidisciplinar faz diferença em segurança, planejamento e resultado final.

Dra Larissa
Camargo

CRO-SP 116.859
Responsável técnica do Instituto Volver, com atuação em implantes, prótese e liderança clínica.

Dr Rodrigo
Torralbo

CRO-SP 154849
Especialista em endodontia.

Dra Thais Y
Suzuki

CRO-SP 144593
Especialista em prótese e reabilitação dentária após o tratamento de canal.

Conforto durante o tratamento

Sabemos que muitos pacientes chegam com medo do tratamento de canal.

Por isso, criamos um ambiente preparado para tornar a experiência mais tranquila.

O Instituto Volver nasceu com a proposta de oferecer uma odontologia integrada, moderna e humana.

Aqui cada paciente é atendido de forma individualizada, com planejamento clínico detalhado e atenção aos aspectos funcionais, estéticos e emocionais do sorriso.

Dúvidas frequentes sobre o tratamento de canal

Com anestesia e técnicas atuais, o procedimento é realizado de forma confortável.

Na grande maioria dos casos, o tratamento pode ser realizado em uma única sessão, dependendo da condição do dente.

Após o tratamento, o dente deve ser restaurado adequadamente para recuperar sua função.

Em casos onde o tratamento convencional não resolve a infecção.

Quando há inflamação ou infecção da polpa, o tratamento é necessário para preservar o dente. A prevenção ajuda a não chegar nesse estágio.

 

Sim. O objetivo é remover a causa da dor.

Não atendemos convênios. O atendimento é particular.

Avaliação para diagnóstico e alívio da dor e preservação do seu dente

Agende uma avaliação no Instituto Volver e receba um diagnóstico preciso para o seu caso.

Agende agora

Clique e fale com a equipe do Instituto Volver.
⚠ Atendimento particular — não atendemos convênios.

Endereço e localização

Rua Emílio Mallet, 724 — Tatuapé (Zona Leste) • CEP 03320-000 • São Paulo/SP
Referência: próximo ao Metrô Carrão.

Acompanhe nosso dia a dia no Instagram

Veja bastidores, resultados reais, orientações e histórias de pacientes. Siga o Instituto Volver para ficar por dentro.

Conteúdos sobre implantes, prótese protocolo, cuidados e transformações.

Como podemos ajudar você

Explore as principais áreas de atuação do Instituto Volver e encontre o tratamento mais alinhado ao seu momento.

Substitua dentes perdidos com implantes modernos,
recuperando mastigação, estética e segurança
para sorrir novamente.

Solução fixa para quem deseja substituir a dentadura móvel e voltar a sorrir com conforto, estabilidade e naturalidade.

Ortodontia discreta e moderna para alinhar o sorriso com conforto e estética.

Correção estética e funcional do sorriso com acompanhamento especializado.

Tratamento especializado para preservar dentes comprometidos e aliviar dor.

Cuidado odontológico infantil com acolhimento, atenção e ambiente preparado para crianças.

Transformação estética do sorriso com laminados ultrafinos e planejamento personalizado.

Procedimentos estéticos que equilibram sorriso e face, valorizando a naturalidade.

<