Dra-Larissa-Aparelho-fixo
5,0⭐ Avaliações no Google • Instituto Volver
Classificado como 5 de 5

Aparelhos Ortodônticos em São Paulo (Tatuapé)

Corrija o alinhamento dos dentes com aparelhos ortodônticos planejados de forma personalizada para melhorar estética, função mastigatória e harmonia do sorriso. transformar seu sorriso com mais previsibilidade e praticidade no dia a dia.

5,0⭐ no Google • Instituto Volver
Classificado como 5 de 5

⚠ Atendimento particular — não atendemos convênios.

Você se identifica com alguma dessas situações?

Dentes
tortos

mordida
cruzada

Espaços entre
os dentes

Vergonha de
sorrir

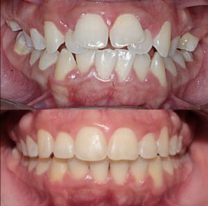
O tratamento ortodôntico pode ajudar a corrigir o posicionamento dos dentes e da mordida, melhorando estética, função e conforto no dia a dia.

Transformações com tratamento ortodôntico

Com planejamento e acompanhamento profissional, o tratamento ortodôntico permite corrigir o alinhamento dentário e transformar o sorriso de forma gradual e previsível.

Como funciona o tratamento

Avaliação e diagnóstico

Avaliação clínica e exames para entender o posicionamento dos dentes e da mordida.

Planejamento ortodôntico

Definição do tipo de aparelho e estratégia de movimentação dentária.

Acompanhamento

Consultas periódicas para ajustes e evolução do tratamento.

Tratamento ortodôntico para alinhar seu sorriso

O tratamento com aparelhos ortodônticos permite corrigir o posicionamento dos dentes e melhorar a harmonia do sorriso.

No Instituto Volver utilizamos diferentes tipos de aparelhos fixos para atender às necessidades estéticas e funcionais de cada paciente.

*A indicação do tratamento depende de avaliação clínica e do tipo de desalinhamento dentário.

Tipos de aparelhos ortodônticos fixos

Modelo tradicional com braquetes metálicos, eficiente para diferentes tipos de movimentação dentária.

Sistema moderno com menor atrito entre fio e braquete, permitindo mecânica mais eficiente e mais rápido.

Opção mais discreta, com braquetes na cor do dente, proporcionando um tratamento ortodôntico mais estético.

Prefere um tratamento mais discreto?

Alguns pacientes preferem alinhar os dentes com uma solução ainda mais discreta.

Os alinhadores invisíveis são placas transparentes removíveis que movimentam os dentes gradualmente, oferecendo mais conforto e estética no dia a dia.

clear-corect

Tecnologia que aumenta previsibilidade no tratamento

Permite capturar imagens digitais da boca com precisão, sem a necessidade de moldagens tradicionais desconfortáveis.

Ajuda a visualizar a movimentação dos dentes ao longo do tratamento e traz mais previsibilidade para cada etapa.

Cada caso é acompanhado de forma individualizada para garantir que o alinhamento siga a estratégia planejada.

Por que escolher o Instituto Volver

5,0⭐ Avaliações no Google • Instituto Volver
Classificado como 5 de 5
⚠ Atendimento particular — não atendemos convênios.

Pagamento personalizado

Sabemos que alinhar o sorriso é um investimento em autoestima e saúde bucal. Por isso, as possibilidades de pagamento são apresentadas na avaliação conforme o seu planejamento.
*Condições sujeitas à análise e às políticas vigentes.

Conheça alguns dos profissionais relacionados ao planejamento e acompanhamento dos tratamentos ortodônticos

Dra Herika
Ferreira

CRO-SP 77105
Especialista em ortodontia e harmonização facial.

Dra Larissa
Camargo

CRO-SP 116.859
Responsável técnica do Instituto Volver e liderança clínica da equipe.

Acompanhe nosso dia a dia no Instagram

Veja bastidores, resultados reais, orientações e histórias de pacientes. Siga o Instituto Volver para acompanhar transformações de sorriso.

Conteúdos sobre alinhadores invisíveis, ortodontia, estética do sorriso e rotina clínica.

Dúvidas frequentes sobre alinhadores invisíveis

Nos primeiros dias após a instalação ou os ajustes, pode haver um período de adaptação e sensibilidade. Esse desconforto costuma ser temporário e faz parte da movimentação dos dentes.

O tempo varia conforme o grau de desalinhamento, a mordida e o planejamento ortodôntico de cada paciente. Na avaliação, conseguimos estimar melhor o tempo do seu caso.

O aparelho convencional utiliza borrachinhas para prender o fio ao braquete.
O autoligado possui um sistema próprio de encaixe, com mecânica mais moderna e menor atrito em muitos casos. A melhor indicação depende do planejamento do tratamento.

Sim, o aparelho estético de cerâmica também é uma opção eficiente para diversos casos ortodônticos. A diferença principal está na aparência mais discreta, já que os braquetes ficam mais próximos da cor do dente.l.

Sim. Alguns pacientes podem ser candidatos aos alinhadores invisíveis, que são removíveis e praticamente imperceptíveis no dia a dia. Se esse for o seu perfil, podemos indicar a melhor opção na avaliação.

Isso depende do seu caso clínico, do tipo de desalinhamento, da mordida, da sua rotina e da sua preferência estética. Na avaliação, definimos qual é a opção mais adequada entre aparelho convencional, autoligado, estético de cerâmica ou alinhadores invisíveis.

Em muitos casos, sim. Mas isso depende da condição atual dos dentes e da avaliação ortodôntica. O ideal é analisar seu caso de forma individualizada.

Não. Além de melhorar o alinhamento e o sorriso, o tratamento ortodôntico também pode contribuir para mordida, função mastigatória, higiene bucal e equilíbrio do sistema estomatognático.

Não. O atendimento do Instituto Volver é particular, com planejamento personalizado e condições apresentadas na avaliação.

Avaliação para tratamento ortodôntico

Na consulta você recebe uma análise do seu sorriso, orientação sobre as possibilidades de tratamento e um planejamento inicial para entender se os alinhadores invisíveis são a melhor opção para você.

Agende agora

Clique e fale com a equipe do Instituto Volver.
⚠ Atendimento particular — não atendemos convênios.

Endereço e localização

Rua Emílio Mallet, 724 — Tatuapé (Zona Leste) • CEP 03320-000 • São Paulo/SP
Referência: próximo ao Metrô Carrão.

Como podemos ajudar você

Explore as principais áreas de atuação do Instituto Volver e encontre o tratamento mais alinhado ao seu momento.

Substitua dentes perdidos com implantes modernos,
recuperando mastigação, estética e segurança
para sorrir novamente.

Solução fixa para quem deseja substituir a dentadura móvel e voltar a sorrir com conforto, estabilidade e naturalidade.

Tratamento discreto, removível e planejado digitalmente para alinhar o sorriso com conforto e previsibilidade.

Correção estética e funcional do sorriso com acompanhamento especializado.

Tratamento especializado para preservar dentes comprometidos e aliviar dor.

Cuidado odontológico infantil com acolhimento, atenção e ambiente preparado para crianças.

Transformação estética do sorriso com laminados ultrafinos e planejamento personalizado.

Procedimentos estéticos que equilibram sorriso e face, valorizando a naturalidade.

Conheça o Instituto Volver

O Instituto Volver nasceu com a proposta de oferecer uma odontologia integrada, moderna e humana.

Aqui cada paciente é atendido de forma individualizada, com planejamento clínico detalhado e atenção aos aspectos funcionais, estéticos e emocionais do sorriso.

Nosso objetivo é devolver saúde, função e qualidade de vida através de tratamentos seguros e personalizados.

<