Lentes de Contato Dental e Facetas em São Paulo (Tatuapé)
Transforme seu sorriso com tratamentos estéticos personalizados que corrigem formato, cor e proporção dos dentes de forma natural e harmônica.
- Harmonização estética do sorriso
- Correção de formato e proporção dos dentes
- Tratamentos com porcelana ou resina
- Planejamento digital do sorriso
⚠ Atendimento particular — não atendemos convênios.
Você se identifica com alguma dessas situações?
Dentes
escurecidos
Dentes
desgastados
Espaços entre
os dentes
Dentes pequenos ou curtos
Assimetria no sorriso
Tratamentos estéticos como lentes de contato dental e facetas podem ajudar a transformar o sorriso de forma personalizada, respeitando as características naturais do rosto.
Resultados reais com lentes de contato
Veja alguns casos reais de reabilitação com prótese fixa sobre implantes, buscando estética, função e segurança no dia a dia.
Estética do sorriso com planejamento personalizado
Os tratamentos com lentes de contato dental e facetas estéticas permitem melhorar a aparência do sorriso corrigindo:
- Formato dos dentes
- Tamanho e proporção
- Cor
- Pequenas irregularidades
*No Instituto Volver, cada caso é planejado individualmente para buscar um resultado natural, equilibrado e harmônico com o rosto do paciente.
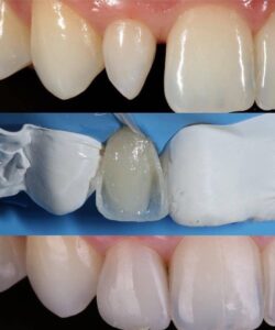
Tipos de Facetas dentárias
Seu novo sorriso não deve parecer artificial. Aqui, a prótese protocolo é planejada buscando naturalidade, harmonia facial, conforto e um acabamento mais refinado em cada detalhe.
Indicadas quando é necessário maior correção de forma, posição ou estrutura dentária.
Permitem mudanças mais significativas na estética do sorriso.
- Estética mais natural em cor, forma e proporção
- Acabamento premium e atenção aos detalhes
- Ajustes finos para fala, mastigação e conforto
Lâminas ultrafinas em porcelana que são aplicadas sobre os dentes para melhorar estética, formato e cor, mantendo alta durabilidade e estabilidade de cor.
Benefícios:
• Desgaste mínimo
• Alta estética
• Durabilidade elevada
• Estabilidade de cor
• Resultado natural
Indicadas quando é necessário maior correção de forma, posição ou estrutura dentária.
Permitem mudanças mais significativas na estética do sorriso.
Opção estética realizada diretamente sobre os dentes, permitindo correções rápidas de formato e estética com abordagem mais conservadora.
Benefícios:
• Procedimento mais rápido
• Ajustes mais simples
• Alternativa estética acessível
Como funciona o tratamento
1. Avaliação e planejamento
Análise estética do sorriso, estrutura dentária e planejamento inicial do tratamento.
Planejamento do sorriso
Utilizamos documentação fotográfica e análise estética para planejar proporções e harmonia do sorriso
Execução do tratamento
Realização das facetas ou lentes de contato conforme o planejamento individual do caso.
Tecnologia que faz diferença na experiência
Escaneamento Intraoral
Permite capturar imagens digitais da boca com precisão, sem a necessidade de moldagens tradicionais desconfortáveis.
Mais tranquilidade para pacientes que sentem medo ou ansiedade em procedimentos odontológicos.
Por que escolher o Instituto Volver
- Planejamento estético personalizado
- Equipe com atuação em estética do sorriso
- Tecnologia para diagnóstico e planejamento
- Atendimento humanizado
- Localização estratégica no Tatuapé • São Paulo
Pagamento personalizado
Sabemos que transformar o sorriso é um investimento em autoestima e bem-estar.
Por isso as possibilidades de pagamento são apresentadas na avaliação conforme o planejamento do tratamento.
- Cartão de crédito em até 18x sem juros
- Boleto parcelado sujeito à análise
- Possibilidade de parceria financeira conforme perfil
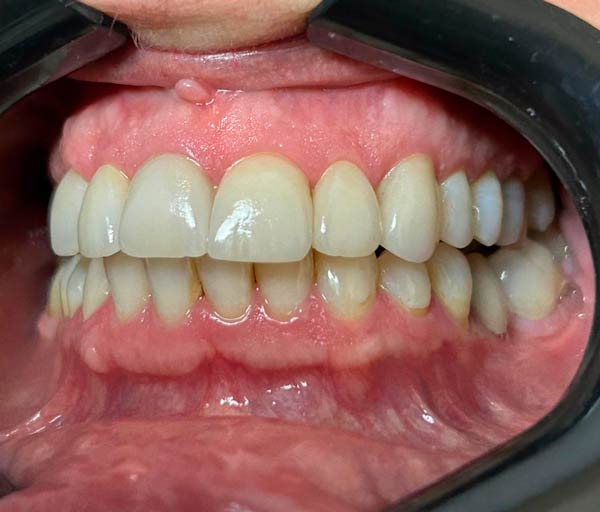
✨ Transformação com lentes de contato dental em porcelana
Após uma análise cuidadosa do sorriso, nossa paciente relatou incômodo com a cor dos dentes e com um elemento que frequentemente quebrava, comprometendo a harmonia estética.
Com o planejamento digital e a aplicação de 6 lentes de contato em porcelana, conseguimos restaurar não apenas a estética, mas também a segurança e a confiança ao sorrir.
As lentes de contato dental são laminados ultrafinos em porcelana que proporcionam:
• Correção de forma e proporção dos dentes
• Melhora da cor e da harmonia do sorriso
• Alta resistência e estabilidade de cor ao longo dos anos
Todo o planejamento e execução foram realizados aqui no Instituto Volver Odontologia Integrada, com foco em naturalidade, precisão e excelência nos resultados.
Um sorriso bonito não transforma apenas a aparência — ele transforma a forma como você se sente.
Acompanhe nosso dia a dia no Instagram
Veja bastidores, resultados reais, orientações e histórias de pacientes. Siga o Instituto Volver para ficar por dentro.
Conheça alguns dos profissionais envolvidos na jornada de reabilitação do paciente com prótese protocolo. Uma equipe multidisciplinar faz diferença em segurança, planejamento e resultado final.
Dra Larissa
Camargo
CRO-SP 116.859
Responsável técnica do Instituto Volver, com atuação em implantes, prótese e liderança clínica.
Dra Thais Y
Suzuki
CRO-SP 144593
Especialista em implante e prótese.
Dúvidas frequentes sobre lentes de contato
As lentes de contato são laminados ultrafinos indicados para mudanças mais sutis.
As facetas permitem correções mais amplas de forma, posição e estética.
Dependendo do caso, o desgaste pode ser mínimo ou inexistente. Isso é avaliado individualmente durante o planejamento.
A durabilidade depende de hábitos, higiene e acompanhamento profissional.
Normalmente é um procedimento confortável e realizado com anestesia quando necessário.
Depende do objetivo estético, estrutura dentária e planejamento do caso. Porém de modo geral, a porcelana é um material mais durável, resistente e com maior estabilidade da cor.
Não atendemos convênios. O atendimento é particular.
O tempo varia conforme o planejamento e o tipo de faceta indicado, mas normalmente de 3 a 15 dias.
Sim. O objetivo do planejamento é criar um sorriso harmônico e natural, respeitando as características do rosto do paciente.
Avaliação com plano personalizado para lentes de contato
Agende sua avaliação no Instituto Volver e receba um planejamento personalizado para transformar seu sorriso.
- Diagnóstico do seu caso
- Explicação clara das possibilidades
- Planejamento individualizado
- Condições apresentadas com transparência
Agende agora
Endereço e localização
Rua Emílio Mallet, 724 — Tatuapé (Zona Leste) • CEP 03320-000 • São Paulo/SP
Referência: próximo ao Metrô Carrão.
Como podemos ajudar você
Explore as principais áreas de atuação do Instituto Volver e encontre o tratamento mais alinhado ao seu momento.
Substitua dentes perdidos com implantes modernos,
recuperando mastigação, estética e segurança
para sorrir novamente.
Solução fixa para quem deseja substituir a dentadura móvel e voltar a sorrir com conforto, estabilidade e naturalidade.
Cuidado odontológico infantil com acolhimento, atenção e ambiente preparado para crianças.
Transformação estética do sorriso com laminados ultrafinos e planejamento personalizado.
Procedimentos estéticos que equilibram sorriso e face, valorizando a naturalidade.
Conheça o Instituto Volver
O Instituto Volver nasceu com a proposta de oferecer uma odontologia integrada, moderna e humana.
Aqui cada paciente é atendido de forma individualizada, com planejamento clínico detalhado e atenção aos aspectos funcionais, estéticos e emocionais do sorriso.
Nosso objetivo é devolver saúde, função e qualidade de vida através de tratamentos seguros e personalizados.
- Clínica odontológica integrada no Tatuapé
- Foco em conforto, segurança e qualidade
- Soluções completas em diferentes especialidades