Dra-Larissa-Camargo-1.jpeg
5,0⭐ Avaliações no Google + especialistas em bruxismo
Classificado como 5 de 5

Tratamento para Bruxismo em São Paulo (Tatuapé)

Controle do bruxismo com placas personalizadas e toxina botulínica para reduzir dor, desgaste dentário e tensão muscular.
O bruxismo é o hábito de apertar ou ranger os dentes, geralmente durante o sono ou em momentos de estresse.

Esse comportamento pode causar dor, desgaste dos dentes e problemas musculares.

No Instituto Volver, o tratamento é planejado de forma individualizada para controlar os sintomas e proteger a saúde bucal.

 

5,0⭐ no Google • Instituto Volver
Classificado como 5 de 5

⚠ Atendimento particular — não atendemos convênios.

Você apresenta algum desses sinais?

Dor na mandíbula ao acordar

Dores de cabeça frequentes

Dentes desgastados

Estalos na articulação

Sensação de tensão na face

Esses sinais podem indicar bruxismo e devem ser avaliados para evitar danos maiores aos dentes e à musculatura.

O bruxismo é o ato involuntário de apertar ou ranger os dentes, podendo ocorrer durante o sono ou ao longo do dia.

Ele pode estar relacionado a fatores como estresse, ansiedade e alterações musculares.

Como tratamos o bruxismo

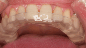
Placa de bruxismo personalizada

Dispositivo utilizado durante o sono para proteger os dentes e reduzir o impacto do apertamento.

Toxina botulínica

Aplicada na musculatura mastigatória para reduzir a força de contração e aliviar a sobrecarga muscular.

Em muitos casos, a combinação dos dois tratamentos oferece melhores resultados.

Como funciona o tratamento

Avaliação e exames

Identificação dos sinais e sintomas do bruxismo.

Planejamento

Definição da melhor abordagem para o caso

Tratamento

Confecção da placa e/ou aplicação da toxina botulínica.

Acompanhamento

Monitoramento da evolução dos sintomas e adaptação com o uso da placa

Tecnologia que faz diferença na experiência

Escaneamento Intraoral

Permite capturar imagens digitais da boca com precisão, sem a necessidade de moldagens tradicionais desconfortáveis.

Tecnologia complementar que auxilia na cicatrização e conforto durante o tratamento.

Mais tranquilidade para pacientes que sentem medo ou ansiedade em procedimentos odontológicos.

Por que escolher o Instituto Volver

5,0⭐ Avaliações no Google + 3.000 sorrisos transformados
Classificado como 5 de 5
⚠ Atendimento particular — não atendemos convênios.

Pagamento personalizado

Tratamento de bruxismo é um investimento em qualidade de vida e bem-estar.

Por isso as possibilidades de pagamento são apresentadas na avaliação conforme o planejamento do tratamento.

*Condições sujeitas à análise e às políticas vigentes.

Acompanhe nosso dia a dia no Instagram

Veja bastidores, resultados reais, orientações e histórias de pacientes. Siga o Instituto Volver para ficar por dentro.

Conteúdos sobre implantes, prótese protocolo, cuidados e transformações.

Conheça alguns dos profissionais envolvidos na jornada de tratamento de bruxismo. Uma equipe multidisciplinar faz diferença em segurança, planejamento e resultado final.

Dra Larissa
Camargo

CRO-SP 116.859
Responsável técnica do Instituto Volver, com atuação em implantes, prótese, cursos intensivos em tratamentos de bruxismo e liderança clínica.

Dra Herika
Ferreira

CRO-SP 77105
Especialista em Ortodontia e harmonização Orofacial.

Dra Thais Y
Suzuki

CRO-SP 144593
Especialista em implante e prótese, cursos intensivos em tratamentos de bruxismo.

Dúvidas frequentes sobre lentes de contato

O bruxismo pode ser controlado com tratamento adequado.

A placa protege os dentes e ajuda no controle dos sintomas.

Sim, quando aplicada por profissional qualificado.

Os procedimentos são realizados com foco no conforto do paciente.

Depende do caso. Em alguns pacientes, a combinação traz melhores resultados.

Sim, principalmente em períodos de estresse.

Não atendemos convênios. O atendimento é particular.

Controle o bruxismo e proteja seus dentes

Agende uma avaliação no Instituto Volver e receba um plano de tratamento personalizado.

Agende agora

Clique e fale com a equipe do Instituto Volver.
⚠ Atendimento particular — não atendemos convênios.

Endereço e localização

Rua Emílio Mallet, 724 — Tatuapé (Zona Leste) • CEP 03320-000 • São Paulo/SP
Referência: próximo ao Metrô Carrão.

Como podemos ajudar você

Explore as principais áreas de atuação do Instituto Volver e encontre o tratamento mais alinhado ao seu momento.

Substitua dentes perdidos com implantes modernos,
recuperando mastigação, estética e segurança
para sorrir novamente.

Solução fixa para quem deseja substituir a dentadura móvel e voltar a sorrir com conforto, estabilidade e naturalidade.

Ortodontia discreta e moderna para alinhar o sorriso com conforto e estética.

Correção estética e funcional do sorriso com acompanhamento especializado.

Tratamento especializado para preservar dentes comprometidos e aliviar dor.

Cuidado odontológico infantil com acolhimento, atenção e ambiente preparado para crianças.

Transformação estética do sorriso com laminados ultrafinos e planejamento personalizado.

Procedimentos estéticos que equilibram sorriso e face, valorizando a naturalidade.

Conheça o Instituto Volver

O Instituto Volver nasceu com a proposta de oferecer uma odontologia integrada, moderna e humana.

Aqui cada paciente é atendido de forma individualizada, com planejamento clínico detalhado e atenção aos aspectos funcionais, estéticos e emocionais do sorriso.

Nosso objetivo é devolver saúde, função e qualidade de vida através de tratamentos seguros e personalizados.

<