Dra-Larissa-Camargo-1.jpeg
5,0⭐ Avaliações no Google + 3000 de sorrisos transformados
Classificado como 5 de 5

Tratamento de Gengiva (Periodontia) em São Paulo (Tatuapé)

Diagnóstico e tratamento de problemas gengivais para preservar a saúde dos dentes e evitar perda óssea.

A saúde da gengiva é fundamental para a manutenção dos dentes.

Problemas gengivais, quando não tratados, podem evoluir silenciosamente e comprometer a estrutura de suporte dos dentes.

No Instituto Volver, realizamos avaliação e tratamento periodontal com planejamento individualizado.

5,0⭐ no Google • Instituto Volver
Classificado como 5 de 5

⚠ Atendimento particular — não atendemos convênios.

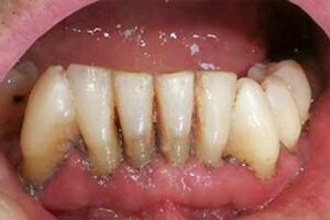
Estágios da doença periodontal

Quando bem indicada e planejada, a bichectomia proporciona um resultado natural, respeitando o formato do rosto e a individualidade do paciente.

Gengivite

Periodontite

A perda óssea causada pela periodontite não é reversível — por isso o diagnóstico precoce é fundamental.

Você apresenta algum desses sinais?

Gengiva sangrando ao escovar

Mau hálito frequente

Gengiva inchada ou avermelhada

Retração gengival

Sensação de dente amolecendo

Acúmulo de tártaro

Esses sinais podem indicar problemas gengivais que precisam de avaliação profissional

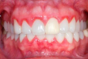
Muitas pessoas acreditam que sangrar a gengiva ao escovar é normal.

Na verdade, esse é um dos primeiros sinais de inflamação.

Com o tempo, essa inflamação pode evoluir para perda óssea e mobilidade dos dentes.

Gengiva saudável não sangra.

Tratamentos periodontais

Limpeza profissional (profilaxia)

Remoção de placa e tártaro superficial.

Raspagem e alisamento radicular

Limpeza profunda para remover tártaro abaixo da gengiva.

Tratamento de bolsas periodontais

Controle da infecção em áreas mais profundas.

Cirurgias periodontais

Indicadas em casos mais avançados para recuperação da saúde gengival.

Tecnologia que aumenta segurança no procedimento

Raio-x digital

Mais agilidade e precisão no diagnóstico.

Tecnologia complementar que auxilia na cicatrização e conforto durante o tratamento.

Mais tranquilidade para pacientes que sentem medo ou ansiedade em procedimentos odontológicos.

Por que escolher o Instituto Volver

5,0⭐ Avaliações no Google + 3.000 sorrisos transformados
Classificado como 5 de 5
⚠ Atendimento particular — não atendemos convênios.

Pagamento personalizado

As possibilidades de pagamento são apresentadas durante a avaliação conforme o planejamento do procedimento.

*Condições sujeitas à análise e às políticas vigentes.

Conheça alguns dos profissionais envolvidos na jornada de tratamentos em periodontia. Uma equipe multidisciplinar faz diferença em segurança, planejamento e resultado final.

Dra Larissa
Camargo

CRO-SP 116.859
Responsável técnica do Instituto Volver, especialista em bichectomia, implantes, prótese e liderança clínica.

Dr Rafael Henrique

CRO-SP 121726
Especialista em implante, cirugias avançadas, periodontia na implantodontia e enxertos ósseos.

Dúvidas frequentes sobre bichectomia

Não. É um sinal de inflamação e deve ser avaliado e tratado.

Nem sempre. Muitas vezes evolui sem dor.

É possível controlar a doença e evitar sua progressão.

Sim. A perda óssea pode levar à mobilidade e perda dentária.

Os procedimentos são realizados com técnicas que visam conforto.

Depende do caso, mas o controle periódico é fundamental.

Não atendemos convênios. O atendimento é particular.

Acompanhe nosso dia a dia no Instagram

Veja bastidores, resultados reais, orientações e histórias de pacientes. Siga o Instituto Volver para ficar por dentro.

Conteúdos sobre implantes, prótese protocolo, cuidados e transformações.

Avaliação para Periodontia

Agende uma avaliação no Instituto Volver e evite problemas que podem comprometer seus dentes.

Agende agora

Clique e fale com a equipe do Instituto Volver.
⚠ Atendimento particular — não atendemos convênios.

Endereço e localização

Rua Emílio Mallet, 724 — Tatuapé (Zona Leste) • CEP 03320-000 • São Paulo/SP
Referência: próximo ao Metrô Carrão.

Como podemos ajudar você

Explore as principais áreas de atuação do Instituto Volver e encontre o tratamento mais alinhado ao seu momento.

Substitua dentes perdidos com implantes modernos,
recuperando mastigação, estética e segurança
para sorrir novamente.

Solução fixa para quem deseja substituir a dentadura móvel e voltar a sorrir com conforto, estabilidade e naturalidade.

Ortodontia discreta e moderna para alinhar o sorriso com conforto e estética.

Correção estética e funcional do sorriso com acompanhamento especializado.

Tratamento especializado para preservar dentes comprometidos e aliviar dor.

Cuidado odontológico infantil com acolhimento, atenção e ambiente preparado para crianças.

Transformação estética do sorriso com laminados ultrafinos e planejamento personalizado.

Procedimentos estéticos que equilibram sorriso e face, valorizando a naturalidade.

<