Dra-Larissa-Camargo---implante
5,0⭐ Avaliações no Google + 3.000 sorrisos transformados
Classificado como 5 de 5

Implantes Dentários em São Paulo (Tatuapé)

Recupere dentes perdidos com segurança, conforto e naturalidade através de implantes dentários planejados de forma personalizada para devolver função, estética e confiança ao seu sorriso.

5,0⭐ no Google • Instituto Volver
Classificado como 5 de 5

⚠ Atendimento particular — não atendemos convênios.

Você está passando por alguma dessas situações?

Perdeu um ou
mais dentes

Dificuldade para
mastigar

Usa prótese removível
e sente desconforto

Tem dentes comprometidos
ou quebrados

Os implantes dentários podem ser uma solução segura e duradoura para recuperar seu sorriso, sua função mastigatória e sua confiança no dia a dia.

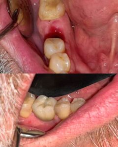
Transformações reais com implantes dentários

Veja alguns casos reais de reabilitação com implantes, desde reposição unitária até reabilitações fixas mais amplas, sempre buscando função, estética e naturalidade.

Como funciona o tratamento

1. Avaliação e planejamento

Realizamos avaliação clínica e exames para entender sua estrutura óssea, definir a melhor estratégia e planejar o tratamento com precisão.

2. Instalação dos implantes

Os implantes são posicionados no osso com técnicas modernas e seguras, sempre conforme a necessidade de cada caso clínico.

3. Prótese final personalizada

Após a fase adequada do tratamento, instalamos a coroa/prótese planejada para devolver função, estabilidade e um resultado estético compatível com o seu sorriso.

Implante Acqua Neodent (Straumann Group)

Trabalhamos com o Neodent® Acqua™, uma superfície hidrofílica desenvolvida para aumentar a molhabilidade e favorecer uma osseointegração mais rápida — especialmente útil em situações desafiadoras.
*A indicação do implante e o protocolo dependem de avaliação clínica e exames.

Perdeu todos os dentes ou usa dentadura?

Se o seu caso não é a reposição de um único dente ou de alguns elementos, mas sim a perda total dos dentes de uma arcada ou o desconforto com dentadura, existe uma solução específica para isso: a Prótese Protocolo.
2-1.jpeg

Tecnologia que faz diferença na experiência

Planejamento digital que permite posicionar os implantes com maior precisão, segurança e previsibilidade. Em casos indicados, a técnica pode ser realizada sem cortes e sem suturas, proporcionando mais conforto ao paciente e favorecendo uma cicatrização mais tranquila.

Tecnologia complementar que auxilia na cicatrização, no conforto e no suporte clínico durante o tratamento.

Mais tranquilidade para pacientes que sentem medo ou ansiedade em procedimentos odontológicos.

Por que escolher o Instituto Volver

5,0⭐ Avaliações no Google + 3.000 sorrisos transformados
Classificado como 5 de 5
⚠ Atendimento particular — não atendemos convênios.

Pagamento personalizado

Aqui você encontra condições flexíveis para viabilizar sua reabilitação. As opções são explicadas na avaliação e podem variar conforme análise.
*Condições sujeitas à análise e às políticas vigentes.

“Recolocaram o verdadeiro…”

Essa foi a reação de um paciente ao se reencontrar com o próprio sorriso.

Momentos como esse mostram que a reabilitação oral vai muito além da estética.
Ver o brilho nos olhos, a emoção na voz e a surpresa ao se olhar no espelho é o que realmente nos move.

Não se trata apenas de dentes.
Trata-se de devolver autoestima, identidade e a alegria de sorrir novamente.

Se você sente que perdeu algo ao longo do tempo — ao evitar sorrir, falar ou se sentir à vontade — saiba que é possível recuperar.
E muitas vezes com resultados ainda melhores do que você imagina.

Assista ao vídeo e veja a reação real de quem viveu essa transformação.

Acompanhe nosso dia a dia no Instagram

Veja bastidores, resultados reais, orientações e histórias de pacientes. Siga o Instituto Volver para ficar por dentro.

Conteúdos sobre implantes, prótese protocolo, cuidados e transformações.

Conheça alguns dos profissionais envolvidos na jornada de reabilitação do paciente com prótese protocolo. Uma equipe multidisciplinar faz diferença em segurança, planejamento e resultado final.

Dra Larissa
Camargo

CRO-SP 116.859
Responsável técnica do Instituto Volver, com atuação em implantes, prótese e liderança clínica.

Dr Rafael
Henrique

CRO-SP 121726
Especialista em implantes, cirurgias avançadas e enxertos ósseos.

Dra Thais Y
Suzuki

CRO-SP 144593
Especialista em implante e prótese.

Avaliação com plano personalizado para implantes dentários

Na consulta você recebe diagnóstico, orientação e um plano individualizado para entender o passo a passo do seu tratamento.

Agende agora

Clique e fale com a equipe do Instituto Volver.
⚠ Atendimento particular — não atendemos convênios.

Endereço e localização

Rua Emílio Mallet, 724 — Tatuapé (Zona Leste) • CEP 03320-000 • São Paulo/SP
Referência: próximo ao Metrô Carrão.

Dúvidas frequentes

Não. O procedimento de implante é realizado com anestesia local, o que faz com que o paciente não sinta dor durante a cirurgia.

Além disso, no Instituto Volver temos a opção do uso da sedação consciente com óxido nitroso, uma técnica segura que ajuda o paciente a ficar mais relaxado, tranquilo e confortável durante todo o procedimento.

Após a cirurgia, é comum sentir apenas um leve desconforto nos primeiros dias, que costuma ser bem controlado com medicação e orientações pós-operatórias.

A maioria dos pacientes relata que o procedimento foi muito mais tranquilo do que imaginava.

Na grande maioria dos casos, sim. Avaliamos saúde geral e condição óssea com exames solicitados na consulta.

O tempo do tratamento pode variar de acordo com cada caso e com as condições do osso do paciente.

Quando conseguimos uma boa estabilidade do implante (torque acima de 35 N), é possível realizar a carga imediata, e o paciente já recebe a prótese fixa em até 48 horas.

Quando a estabilidade inicial é menor, aguardamos um período de aproximadamente 60 dias para a cicatrização antes da prótese definitiva.

Nos casos em que é necessário enxerto ósseo, o tempo pode variar de 90 dias até cerca de 8 meses, dependendo da complexidade do caso.

Por isso, a avaliação clínica e os exames são fundamentais para definir o tempo ideal do seu tratamento com segurança e previsibilidade.

Sim. Avaliamos a causa (posição, inflamação, perda óssea) e indicamos o caminho mais seguro.

Não atendemos convênios. O atendimento é particular, com opções de pagamento personalizadas.

Como podemos ajudar você

Explore as principais áreas de atuação do Instituto Volver e encontre o tratamento mais alinhado ao seu momento.

Substitua dentes perdidos com implantes modernos,
recuperando mastigação, estética e segurança
para sorrir novamente.

Solução fixa para quem deseja substituir a dentadura móvel e voltar a sorrir com conforto, estabilidade e naturalidade.

Ortodontia discreta e moderna para alinhar o sorriso com conforto e estética.

Correção estética e funcional do sorriso com acompanhamento especializado.

Tratamento especializado para preservar dentes comprometidos e aliviar dor.

Cuidado odontológico infantil com acolhimento, atenção e ambiente preparado para crianças.

Transformação estética do sorriso com laminados ultrafinos e planejamento personalizado.

Procedimentos estéticos que equilibram sorriso e face, valorizando a naturalidade.

Conheça o Instituto Volver

O Instituto Volver nasceu com a proposta de oferecer uma odontologia integrada, moderna e humana.

Aqui cada paciente é atendido de forma individualizada, com planejamento clínico detalhado e atenção aos aspectos funcionais, estéticos e emocionais do sorriso.

Nosso objetivo é devolver saúde, função e qualidade de vida através de tratamentos seguros e personalizados.

<